Polikistik Over Sendromu (PKOS)
Polikistik Over Sendromu (PKOS)


POLİKİSTİK OVER SENDROMU (PKOS) Stein ve Leventhal adlı bilim adamları tarafından ilk olarak tarif edildiği kabul edilir (“Stein-Leventhal Sendromu”) nedir?
Polikistik Over Sendromu ( PKOS); yumurtalıklarda irileşme ve bir çok küçük kist oluşumu ile karakterize olup kişide bir takım hormonal problemlere zemin hazırlayan ve günümüzde neden oluştuğu halen kesin olarak bilinmeyen bir durumdur.

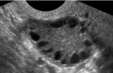
Yukardaki resimde polikistik over sendrom olan bir kişinin yapılan ultrasonunda yumurtalığındaki küçük kistler izlenmektedir.
Polikistik over sendromu olan kişilerde;
-Adet gecikmeleri (oligomenore yada amenore)
-Sivilce (akne),allopesi(erkek tipi kellik)
-Obesite (normalden fazla kilolu olma)
-Tüylenme (hirsutism)
Yumurtlamanın düzgün olmaması (anovulasyon) sonucu kısırlık gibi problemler vardır.
Kanda hormon ölçümleri yapıldığında çeşitli dengesizlikler saptanır; özellikle LH (Luteinizan Hormon) ve erkeklik hormonları (testosteron, DHEAS) yükselmiştir.
Bu sendromda; beyindeki hipofiz bölümünden salgılanan ve yumurtalık hormon üretimini düzenleyen, FSH ve LH hormonları arasındaki denge bozulmuştur. Bunun sonucu olarak yumurtalık hormon üretiminde anormal sapmalar ve yumurtlamada problemler oluşmaktadır.
Erkeklik hormonu yüksekliğine bağlı olarak vücutta (özellikle yüzde, göğüslerde, göbek etrafında ve bacaklarda) erkek tipi tüylenme artışı (kıllanma) olurken bazen köşelerde açılma şeklinde erkek tipi saç dökülmesi (lokal alopesi) de izlenmektedir.
Hastalığın bir diğer fenomeni olan yumurtlama olmaması (anovulasyon) sonucu progesteron hormonu üretimi olmamakta ve estrojen hormonu tek başına salgılanmaktadır. Estrojen hormonunun tek başına salgılanması ise rahim kanseri riskini arttırabilmektedir.
Hastalığın bulguları tipik olarak puberte ile başlar. İlk adetle birlikte adet düzensizlikleri, adet gecikmelerini takiben oluşan yoğun adet kanamaları ilk şikayetlerdir. Bu hastalar sıklıkla adet gecikmeleri şeklinde belirgin adet düzensizliklerinden yakınmaktadırlar.
Sonraki dönemde yıllar içersinde giderek artan erkek tipi kıllanma (hirsutism) izlenir. Daha önceleri çenede ve dudak üzerindeki tek tük, ince olan tüyler giderek kalınlaşır ve sayı olarak artarak estetik bir problem yaratır. Yetişkin yaşta bu yakınmalara ilave olarak "infertilite" yani çocuk olmaması problemi de eklenebilir.
Polikistik Over Sendromu (PKO sendromu) tanısı nasıl konulur?
PCO sendromu tanısı hastanın tipik şikayetlerine bakılarak konulabilir. Yapılan fizik muayenede erkek tipi tüylenme artışı (kıllanma) izlenir. Tüylenme artışına tıbbi literatürde "hirsutism" adı verilmektedir. Hirsutism artan erkeklik hormonlarının etkisine bağlı bir durumdur.
Ultrasonda yumurtalıkta hastalığa özgü 2-9 mm çapını geçmeyen bir çok sayıda kist ile ovulasyon yani yumurtlamanın olmaması izlenir. Yumurtlamanın olmamasına "anovulasyon" denir.
Ayrıca yumurtalıkların hacmi de normale göre artmıştır, yani yumurtalıklar normalden daha iri görünüdedir.
Aşağıdaki ultrason görünümlerinden soldaki bir normal overe aitken, sağdaki polikistik görünümdeki bir overe (yumurtalığa) aittir.

Alınan kan örneğinde yükselmiş erkeklik hormonları ile artmış LH/FSH oranları gözlenmektedir.
Polikistik Over Sendromu ( PKOS) neden ortaya çıkar?
PKOS oluşumundaki etiyoloji (yani neye bağlı olarak ortaya çıktığı) konusunda pek çok teori vardır. Günümüzde bu kesin olarak aydınlatamadığımız sendromun nedenleri arasında en sık suçlananı "genetik özellikler"dir. Yani kişinin PCOS aileden aldığı genetik bir takım özelliklere bağlıdır. Normalde her ay gelişen ve çatlayan yumurtanın bilinmeyen bir sebeple duraksamasi sonucu yumurtalık periferi dediğimiz yerde tespih taneleri gibi milimetrik kistlerin dizilimi ile karekterizedir. Bu her adet düngüsünde tekrarladıkça kist sayısı artar.
Yumurtlama her iki yumurtalıkta da meydana geldiği için bu durum her iki yumurtalıkta çok sayıda kistlerin dizilimine ve yumurtalık hacminin artmasına neden olur.
Folikül gelişimi neden durur?
Yumurtlama için ilk sinyalin veridiği hipotalamus bölgesinden dalgalanmalar şeklinde olan GnRH salgısını bozan bir olay,veya GnRH hormununda sinyal alındıktan sonra LH ve FSH hormon salgısı yaparak folikül geliştirme ve yumurtlama (ovulasyon) emrini veren hipofiz bezini etkileyen bir olay olabilir.
Yumurtlama durakladıkça yumurtalıklardaki kist satısı artar, kist sayısı artıkça yumurtalıkların içinde hassas hormonal dengeler daha bozulur ve yumurtlama (ovulasyon) bozukluğu dahada süregen hale gelir.
Ancak kötü beslenme alışkanlıkları ve egzersiz yapmama ile kilo alımı gibi dışsal faktörler olayda tetikleyici durumdadır.
Polikistik Over Sendromunun tedavisi nasıl yapılır?
PCOS tedavisinde hastalığı tamamı ile ortadan kaldırabilecek etkili bir yöntem yoktur. Hastanın ihtiyacına göre tedavi düzenlenir.
Adet düzensizliği ve tüylenme şikayeti belirgin olan kadınlarda tedavi de doğum kontrol ilaçları oldukça etkilidir. Buradaki tedavi ile yumurtalıklardan üretilen erkeklik hormonunu baskılanmaktadır. Bu tedavi şeklinde amaç vücutta yeni tüylerin oluşumunun engellenmesidir. Başlanan tedaviden sonuç alabilmek için en azından 6ay- 1yıl beklemek gereklidir.
Ne yazık ki eskiden oluşmuş tüyler için etkili ve hızlı bir ilaç tedavisi yoktur. Daha önceden oluşmuş tüyler için yapılması gereken ağda, elektroliz gibi yöntemlerle bunların giderilmesidir. Doğum kontrol ilaçları kullanılmadan tüyler alınırsa yöntem başarısız olur ve alınan tüyler yeniden ve daha fazla bir şekilde çıkar.
Polikistik overi olan kadınların bir çoğunda yumurtlama gerçekleşmediği için infertilite problemi de olabilir. Eğer çocuk istemi varsa kullanılacak tedavi yumurtlama sağlayıcı ilaçların kullanımıdır. Bu tedaviler ile polikistik overli kadınların % 80'inden fazlasında yumurtlama sağlanabilir.
Gerek kısırlık gerekse tüylenme tedavilerinde izlenecek ilk yol bir diyetisyen eşliğinde kilo verilmesidir. Çünkü ancak kilo kaybı ile hormonal düzenin normal şekle girebildiği izlenmiştir. Buradaki neden, kilo artışına bağlı vücutta hormonal bir kısır döngü oluşmuştur ve bunu kırmanın tek yolu zayıflamaktan geçer. Ancak; bazı durumlarda ise PKO hastaları normal ve hatta zayıf kilolu olabilirler.
Polikistik over sendromunun tedavisindeki ilaçlar oldukça etkilidir. Ancak, bazen ilaçla tedavide başarı sağlanamadığında laparoskopik cerrahi ile yumurtalıklara elektrikle delme dediğimiz cerrahi bir girişim (ovarian drilling) uygulanabilir.
PKO’lu hastalara hiçbir şikayetleri olmasa bile, artmış olan rahim kanseri riskini azaltmak amacıyla mutlaka tedavi verilmeli ve en azından aylık düzenli adet görmeleri sağlanmalıdır.
Polikistik over sendromunda tedavi oldukça uzun bir süre devam etmelidir. Çünkü yumurtalıklar üzerindeki baskı ortadan kaldırıldıktan sonra yumurtalıklar yeniden düzensiz hormon üretimine başlamakta ve şikayetler yeniden başlayabilmektedir.
Polikistik over sendromu
Kadınlarda en sık rastlanan hormon bozukluğu polikistik over sendromudur (PCOS). Esasında PCOS, sadece kadın hastalıkları kapsamında değil, vücuttaki tüm organ sistemleri kapsamında en sık görülen hormon bozukluğudur, nedeni tam olarak bilinmemekle; teoriler hastalığıdır. Genetik yatkınlık gösteren bir yumurtalık hastalığı olarak düşünülmektedir. Sendrom tipik olarak genç kızlarda ve genellikle ergenlik döneminde ortaya çıkar.
Metabolik Korunma:
Polikistik over sendromunun tipik özellikleri ilk adet tarihinden itibaren (genellikle 13-15 yaş; menarş) seyrek adet (yılda 9 veya daha az) ve androjen fazlalığı bulgularıdır (kanda testosteron yüksekliği ve/veya tüylenmede artma, yağlı cilt, sivilce, saç dökülmesi). %50 olguda kilo fazlalığı veya şişmanlık görülür; PCOS’nin kilo almaya biyolojik yatkınlık yapması tartışmalı bir konu olsa da kilo fazlalığının tablonun tüm özelliklerini olumsuz etkilediği bir gerçektir. Hepimiz kilo fazlalığı ile mücadele etmeliyiz. Her iki cinste kilo fazlalığı bütün organ sistemlerini olumsuz etkilemektedir. Yalnız PCOS’li olgular aşırı kilo almamaya çok daha fazla özen göstermelidirler; çünkü kilo fazlalığı PCOS’de tüm şikayetleri ve bulguları, yani adet düzensizliği, tüylenmede artma, gebe kalmada sıkıntı ve metabolik riskleri olumsuz etkileyen bağımsız bir risk faktörüdür.” Bazı teorilere göre bu sendrom anne karnında başlayıp, ölüme kadar devam eden, hayatın farklı dönemlerinde, kendini farklı bulgularla ortaya koyan bir hastalıktır. Nedenini tam olarak bilmediğimiz ve genetik faktörlerin de rol oynayabileceğini düşündüğümüz için nedene yönelik bir tedavisi, maalesef yoktur. Tedavi belirtilere yöneliktir. Hastanın tedavisindeki en önemli ve birinci basamak kilonun kontrol altına alınması ve kilo verdirilmesidir. Maalesef, pratik hayatta kilo verilmesinde çoğu zaman başarı sınırlı olabilmektedir. Kilo verilmesinde başarı anahtarı, hastanın tam uyum içinde olma isteği, bir diyet uzmanından profesyonel destek alınması ve uygun egzersiz programı uygulanmasıdır. Bunlara uyulduğunda, elbette kolaylıkla kilo verilebilinir.
Kadınlardaki kilo alımı ve yağlanmayı biz ikiye ayırabiliriz. Bunlardan ilki “erkek tipi” olarak tabir edilen kilo alımının karın çevresi ve üst gövdede olması, bacakların ve kalçaların ise ince olması durumudur. İkinci tür kilo alımı tipi ise “bayan tipi” olarak tabir edilen kalçalarda ve bacaklarda olan şişmanlıktır; gövde incedir. Kozmetik olarak bakıldığı zaman erkek tipi şiişmanlığın gizlenmesi daha basit olmasına rağmen, beraberinde getirdiği sağlık sorunları açısından daha kötüdür. Çünkü erkek tipi olan bu yağlanma yüksek kolesterol oranları ve artmış metabolik riskler (şeker hastalığı riski artması vs) ile seyreder. Polikistik over sendromlu kadınlarda kilo alımı erkek tipindedir. Hangi tip şişmanlığı anlamak için karın çevresini ölçmekteyiz; göbek hizasından karın çevresi 88 cm’i aşmış ise erkek tipi şişmanlık düşünür ve bu durumun artmış metabolik riskler açısından bir faktör olabileceğini düşünürüz.
Polikistik over sendromlu bayanlarda uzun dönemde bazı artmış metabolik riskler vardır. Bu olgularda 40’lı yaşlar ve sonrasında şeker hastalığı riski kesin olarak, PCOS’li olmayan olgulara, göre artmıştır. Bu olgularda %40 civarında gizli şeker, %6–8 olguda ise aşikâr şeker (tip 2 diabet) sıklığı söz konusudur. Şeker hastalığının sinsi bir seyir gösterebileceği de göz önünde bulundurulur ise, bu olgularda, kilodan bağımsız olarak ilk tanı konduğunda ve sonrasında 2 yılda bir 75 gr şeker yükleme testi yapılmalıdır; önemli bir husus sadece açlık kan şekeri bakılmasının yeterli olmayacağıdır. PCOS’li bireylerin birinci derece yakınlarında (anne, baba ve kardeş) 75 gr şeker taraması yapıldığı zaman anne ve babaların %50’e yakınında gizli veya aşikâr şeker hastalığı tespit edilmiş.. PCOS’li olgularda, ilerleyen bayan yaşı, kilo fazlalığı ve birince derece aile bireylerinde şeker hastalığı varlığı, şeker hastalığı gelişmesi için ilave risk faktörlerini oluşturmaktadır. Ayrıca, kesin olmamakla birlikte hipertansiyon (yüksek tansiyon) ve koroner kalp hastalığı riskleri artmaktadır. Bununla birlikte PCOS’li olguların hayat beklenti sürelerinde bir azalma söz konusu değildir.
Tüylenmede artma tedavisi:
Polikistik over sendromunun bulgularından biri de cilt değişlikleridir. Yani tüylenmede artma, saç dökülmesi, yağlanma, sivilce artımı gibi şikayetlerdir. Bu cilt değişikliklerinin tedavisinde anti-adrojenler (erkeklik hormonlarını baskılayan ilaçlar) kullanılması gerekir. Bu kapsamda kullanılan ilaçlar doğum kontrol hapları, Aldakton (Spironolakton) ve diğer antiandrojenlerdir. Doğum kontrol haplarının hiç birinin bir diğerine göre etkinlik ve emniyetlilik açısından bir farkı yoktur. Tüylenmede artma yanı sıra adetlerin düzenlenmesi doğum kontrol hapı kullanımının ikinci bir avantajıdır. Aldakton, gerçekte bir idrar söktürücü olsa da tüylenmede artma kapsamında etkin bir ilaçtır. Tüylenmede artma tıbbi tedavisi çocuk isteği olan dönemlerde yapılmamalıdır; çünkü kullanılacak ilaçlar ya yumurtlamayı baskılarlar (doğum kontrol hapları gibi) veya gebelik varlığında kullanılmaması gereken ilaçlardır (Aldakton gibi). Bir diğer husus, tüylenmede artmanın tıbbi tedavisinde yanıt geç (6 ay içinde) olur ve mevcut tüyü dökmezler. Gerekir ise, birden fazla ilaç da kombine edilebilir.
PCOS’de Kısırlık Tedavisi:
Polikistik over sendromunun diğer bir bulgusu ise yumurtlamanın seyrek veya hiç olmamasına bağlı gebe kalamamadır (kısırlık). Çocuk sahibi olmak isteyen kadınlarda, yumurtlamayı uyarıcı ilaçların kullanılması gerekir. Bu kapsamda ilk yapılması gereken, mümkün ise, aşırı kilolardan kurtulmak için kilo verilmesidir. Kilo fazlalığı kısırlık tedavisinde direnci arttırmakta ve düşük oranlarını arttırabilmektedir; ayrıca gebelik varlığında bir takım riskler de artabilmektedir. Bununla birlikte, kilo verilmesi, pratikte çoğu zaman çok güç olmaktadır. Tıbbi tedavide 1. basamak yani ilk seçenek klomifen sitrattır (clomiphen citrate; CC; Serophene, Gonaphenei Klomid). CC ile 6 ayda %80 yumurtlama, %40 gebelik elde edilmektedir. Kendiliğinden veya progesteron (Farlutal, günde 2 tablet, 10 gün) ile sağlanmış adet kanaması sonrası âdetin 3.-7. günleri arasında 5 gün, günde 1 tablet ağızdan başlanır. 10–17. günler arası sık (2–3 günde bir) cinsel ilişki, 21–24. günler arası kanda progesteron tayini ile yumurtlama varlığı araştırılır. Bu zaman aralığında yapılan kanda progesteron’un 5 ng/ml üzerinde olması yumurtlamayı düşündürür. Yumurtlama olduğu halde gebelik olmaz ise CC dozunu arttırmaya gerek yoktur. CC ile yumurtlama sağlanamamış ise, doz 100 mg/güne çıkılır ve aynı şema hastaya tarif edilir. Gerekir ise doz 150 mg/güne dek çıkartılabilir. Eğer 150 mg/gün, 5 gün ile de yumurtlama ve/veya gebelik elde edilememiş ise bu olgular CC başarısızlığı olarak kabul edilirler. Bu olgularda 2. basamak tedavi seçeneği günlük iğne (FSH; Gonal-F, Puregon, Menogon, Menopur, Merional, Fostimon) tedavisidir. Düşük-doz tedrici artım (low-dose step-up) protokolu kullanılır; bir uygulama ayı başına %95–98 yumurtlama, %20–23 gebelik elde edilir. 4 ayda gebelik oranları %50-60’lara kadar çıkmaktadır. Bu tedavinin uygulanması, gerekli doz ayarlamaları kapsamında, deneyim gerektirir ve mutlaka bu konuda tecrübeli kişiler tarafınca yürütülmelidir. Aksi takdirde aşırı uyarım sendromu ve çoğu gebelik riski söz konusu olabilir. Günlük iğne tedavisi ile de yanıt alınamayan olgularda, 3. basamak tedavi seçeneği tüp bebektir. Tüp bebek ile gebelik oranları bu olgularda çok iyidir; PCOS'lu hastalarda yapılan tüp bebek gebelik oranları, PCOS olmayan sadece erkeğe bağlı kısırlık olan olgulardan daha yüksektir. Sonuç olarak bu olgularda doğurganlık açısından çok etkin mücadele edebilmekteyiz.
Metformin (Glukofaj, Glukofen) tedavisi PCOS’li olgularda günümüzde çok yoğun olarak kullanılmaktadır. Esasında insülün duyarlaştırıcı bir anti-diabetik olan bu ilacın PCOS’li olgularda doğurganlık açısından yeri çok sınırlıdır. Yakın zamanda yapılan çok geniş iyi tasarlanmış bir çalışmada tek başına Metformin ile alınan neticeler, tek başına göre CC’ye göre daha kötüdür; CC’ye eklenmesi de sadece CC kullanımına ilave canlı doğum oranları kapsamında yarar sağlamamaktadır. Metabolik korunma açısından kullanımına gelince, daha ileri çalışmalara ihtiyaç vardır.
PCOS’de rahim iç tabakası (endometrium) korunması:
İhmal olan PCOS’li olgularda, uzun süren adet düzensizliği, açık adet araları veya hiç adet olmama durumunda, rahimin iç tabakasında kalınlaşma (endometrial hiperplazi) ve rahim içi kanseri riski söz konusu olabilir. Bu nedenle, bu olgularda, çocuk isteminden bağımsız olarak düzenli adet görmelerini isteriz. Bunu da dışarıdan progesteron (Farlutal) veya oral kontraseptif vererek sağlarız. Uzun süre adet araları açık olmuş ihmal olmuş vakalarda ve özellikle transvajinal ultrasonografide iç tabaka kalınsa endometrial biyopsi yapılması tavsiye edilmektedir.